子供の矯正治療
いつ治療を始めるのか
目安としては前歯が永久歯に交換する時期=6歳前後に、一度矯正歯科専門医にご相談されるとよいと思います。
歯医者さんで「永久歯が全部そろってから矯正治療をしましょう」と言われることがあるかと思います。中にはそれで良い場合もありますが、早めに治療を開始した方が良い場合が多くあります。永久歯がそろうのを待って12歳くらいに初診された中には、もう少し早く来てくだされば良かったのになと思うことも少なくありません。
Ⅰ期治療の目的
まだ乳歯の残る小学生の時期に行う治療をⅠ期治療といい、全部永久歯になってから本格的に行う治療をⅡ期治療といいます。Ⅰ期治療を行った方がよいときは下記の3つの場合です。
- Ⅰ期治療を行うことでⅡ期治療を行わずにすみそうなとき。
- Ⅰ期治療を行うことでⅡ期治療が簡単になる、または抜歯をせずにすむ可能性が高くなるとき。
- Ⅰ期治療を行うことで、口腔周囲の機能改善や顎の成長に良い影響があるとき。
歯並びは発音や咀嚼など、口で行う機能に大きく関わっています。成長期においてはなるべく早く改善することが望ましいです。
ミューズ矯正歯科での子供の矯正治療
- 矯正装置を使う時は、できるだけお子さんの負担にならない装置を選ぶようにしています。
- 短期間で治療が終わるよう、効果の高い時期を選んで行います。
- 虫歯予防、歯磨き指導を行っており、患者さん全員にカリエスリスク検査を行い、お子さんに合った予防方法をご提案しています。
- 口腔筋機能療法(MFT)を積極的に行っています。
※MFTとは:口のまわりの筋肉の機能改善をすることで、歯や歯列にかかる力のバランスを整えて歯並びを良くし、発音や咀嚼が正しくできるようにします。
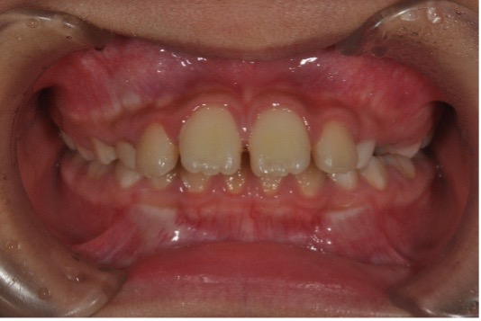
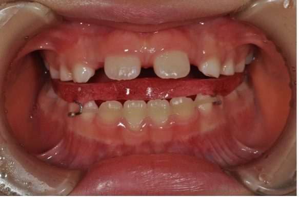
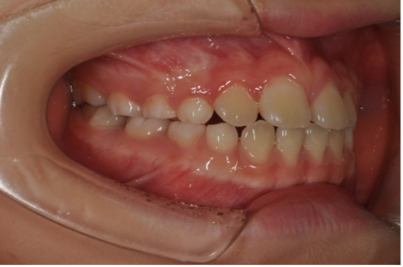
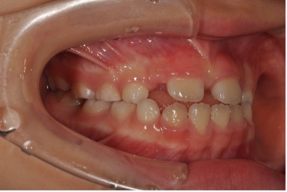
治療の例:反対咬合&開咬
| 治療前(7歳) | |
|---|---|
|
|
| 治療後(9歳2か月) | |
|---|---|
|
|
治療内容
- スライディングプレート
(取り外しができる装置。帰宅してから食事以外で使用)を3か月間使用。 - MFT(口腔筋のトレーニング)を1年間(月に1回)。
- その後経過観察を1年間。
- 副作用・リスクはありません。
当院でかかった治療費
| 矯正検査料 | 35,000円 |
|---|---|
| 基本料(装置代を含む) | 200,000円 |
| 処置料 | 5,000円×3回 |
| 観察料 | 3,000円×16回 |
| 合計 | 298,000円(税込327,800円) |
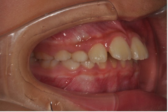
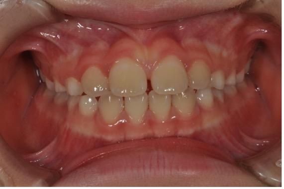
治療の例:上顎前突
| 治療前(9歳4か月) | |
|---|---|
|
|
| 治療後(10歳7か月) | |
|---|---|
|
|
治療内容
- トレーナー T4K
(柔らかく取り外しができる装置。睡眠中+寝る前1時間使用)を1年間使用。 - MFT(口腔筋のトレーニング)を1年間(月に1回)。
- 副作用・リスクはありません。
当院でかかった治療費
| 矯正検査料 | 35,000円 |
|---|---|
| 基本料(装置代を含む) | 200,000円 |
| 処置料 | 5,000円×5回 |
| 観察料 | 3,000円×7回 |
| 合計 | 271,000円(税込298,100円) |



