ホワイトニング
歯が白くなると清潔感を与えるだけではなく、お顔の印象が明るく素敵になります。
ホワイトニングは、歯の健康を保ったまま歯自体の色を白くすることを目指せます。
それぞれの患者さんに合った歯を白くする方法をご提案いたします。まずはご相談ください。
歯を白くする方法
歯を白くする方法には以下の3つがあります。
1:歯を削って被せる:セラミッククラウン、ラミネートべニアなどの補綴処置
健康な歯を削ってしまうこと、場合によっては神経を取ってしまうことがあり、あまり望ましくありませんが、元々の虫歯が大きい場合は、この方法になります。
歯のマニュキアと呼ばれる処置方法もありますが、歯の色が不自然で短期間で取れてしまいます。一時的に白くしたいときに向いています。
2:歯のクリーニング:歯の表面の汚れ(着色、歯石など)を取る
虫歯や歯周病の予防にも有効です。
しかし、歯に浸み込んでしまった色素や、加齢による歯の黄ばみは落とすことが出来ません。
3:歯のホワイトニング:歯自体の色を白くする
過酸化水素(オキシドールの成分)の作用により、歯の中の色素を分解して歯が白くなります。
より自然で若々しい歯にすることが可能です。
ホワイトニングの種類
オフィスホワイトニング:歯科医院で行う方法
歯の表面にお薬を塗り光を当てて作用させることで、短時間で歯を白くすることを目指せます。
当院のホワイトニング方法では、オフィスホワイトニングプロ(初回90分・2回目以降45分)・オフィスホワイトニングプロプラス(初回90分・2回目以降45分)で4~6段階白くすることが可能ですので、1度の施術で白くなった実感を得られやすいです。
ホワイトニング後30分間は水以外の飲食を控えていただきますが、それ以降は何を食べても大丈夫です。
ホームホワイトニング:ご自宅で行う方法
専用のマウスピースを作製し1日30分~2時間装着することによって、歯の内部まで白くしていきます。通勤・通学中やお風呂に入っているときなど、お好きな時間に行うことが出来ます。
ホームホワイトニングを行うことにより、色持ちがよくなり、色ムラも改善し、より透明感のある歯にすることができます。
デュアルホワイトニング:オフィスホワイトニングとホームホワイトニングの併用
歯の外側と内側を一緒に白くしていくことにより、相乗効果で早く白くすることが可能なだけでなく、白さを長期間キープすることが期待できます。お急ぎで白くしたい方、白さを長期間キープしたい方にお勧めです。
オフィスホワイトニングとホームホワイトニング、クリーニングがセットになったお得なコースをご用意しておりますので、ご利用ください。
ホワイトニングの流れ
1)電話かインターネットでご予約ください。
2)無料カウンセリング(30分前後)
ご記入いただいた初診表を元に十分お話をうかがい、お口の中を拝見させていただいて、歯の色の目標設定をいっしょに行い、歯を白くする方法、ホワイトニングの方法をご提案させていただきます。
3)ホワイトニング(30~60分)
方法が決まりましたら、1回目のご来院からホワイトニングを始めることが出来ます。
ホームホワイトニングを行う場合は、お口の型取りを行います。
4)2回目以降のご来院
ホームホワイトニングを行う場合は、専用のマウスピースとホワイトニング剤をお渡しし、使用方法のご説明をいたします。
目標に応じてオフィスホワイトニングを、適切な間隔で複数回行います。
5)目標の色に到達後
目標の色に達したら、白さをキープしましょう。
キープの方法は、数か月に1度オフィスホワイトニングを行う、週に1回程度ホームホワイトニングを行う、ホワイトニング効果のある歯磨き剤を使うなど、いろいろな方法がありますので、ライフスタイルに合わせてお選びください。
メインテナンスのためのお得な回数券もご用意しております。
ミューズ矯正歯科でホワイトニングを受けるメリット
●専用のお部屋をご用意しています。気持ち良い空間と座り心地の良い椅子でホワイトニングを受けていただけます。
●ホワイトニングのトレーニングを行っている歯科医師又は歯科衛生士が施術を行います。
●全国230医院以上(2021年11月30日現在)からなる「ホワイトエッセンス」に加盟しています。数十万人の実績から得られたノウハウに基づいた技術で、そのスケールメリットを活かした安心価格でホワイトニングをご提供しています。
●矯正歯科専門医院に併設したホワイトニングルームですので、歯並びの治療を受けながらホワイトニングを行うことが出来ます。せっかく歯並びを直すのだから、いっしょに歯も白くしたい!という方にお勧めです。
もちろん、ホワイトニングだけの通院も可能ですので、お気軽にご来院ください。
●補綴処置(歯の被せ直し、詰め直し)も行っておりますので、ホワイトニングした美しい歯に色をそろえることができます。
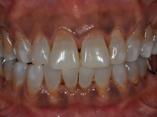
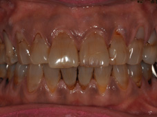
ホワイトニングの例
ケース1:40歳代の女性で、元々の歯の色の濃い方でしたが、2か月のホームホワイトニングと3回のオフィスホワイトニングで、こんなに白くなりました!
⇒
(写真は同じ設定で撮影しており、画像処理を行っていません)
ホワイトニングの料金はこちらをご覧ください
ホワイトニングに関するよくあるご質問はこちらをご覧ください
オフィスホワイトニング 【内容】 ホワイトニング剤とホワイトニング専用照射器を併用して歯を白くします。 【費用(自費)】 16,500円~ 107,800 円(税込) 【治療期間・回数】 治療内容により異なります 【副作用・リスク】 個人差がありますが、施術中や施術後に歯がしみる場合があります。 ホームホワイトニング 【内容】 ホワイトニング剤を用いて歯を白くします。 【費用(自費)】 ・16,500円(税込) ・既にマウスピースをお持ちの方:ホームホワイトニングジェル1,980円~2,310円(税込) ジェルの追加に応じて金額は変動します。 【治療期間及び回数】 治療内容により異なります。 【副作用・リスク】 個人差がありますが、装着中や装着後に歯がしみる場合があります。 【医薬品医療機器等法(薬機法)に関する記載事項】 ・ホワイトエッセンス加盟院取り扱いのホームホワイトニング薬剤は国内未承認です。 ・当院で個人輸入し、ご提供しています。 ・国内には認可品の薬剤も存在します。 ・生産国アメリカの法律上で国の認可が必要のない成分を使用しています。現在までに重大な副作用等の報告はありません。



